Un equipo de investigadores de la Universidad Católica de Santa Fe, de la Sede Reconquista, buscan identificar rastros de microplásticos en cortes cárnicos bovinos de consumo humano.
La contaminación por microplásticos es una problemática de escala mundial que afecta también la alimentación y llega a nuestros cuerpos. Para conocer su alcance, un equipo de investigación de la sede Reconquista de la Universidad Católica de Santa Fe lleva adelante un estudio para identificar la posible presencia de partículas de plásticos acumuladas en la carne vacuna que a diario consumimos.
El proyecto se titula “Relevamientos de presencia de microplásticos en cortes cárnicos bovinos de consumo humano en bocas de expendio de las ciudades de Reconquista y Avellaneda de la Provincia de Santa Fe”. Está a cargo de la doctora Gisela Schaumburg, quien dirige el equipo confirmado por las docentes veterinaria Mónica Berlanda, por la Facultad de Ciencias Agropecuarias, y la bioquímica Ivana Lovatto, desde la Facultad de Ciencias de la Salud, junto a los estudiantes de 3er. año de la Licenciatura en Nutrición, Farid Zamar, Joaquín Bais y Fiorela Carusso.

“A partir de otras investigaciones sobre presencia de micropláticos, por ejemplo en el agua, comenzamos pensando en los alimentos; pero como queríamos articular el trabajo con la carrera de Veterinaria, elegimos enfocarnos en la carne vacuna, un producto central tanto en la alimentación como en la producción agropecuaria de la región”, explica Gisela Schaumburg, sobre el estudio y agrega: “Nos gustaría luego, en una segunda etapa, continuar indagando en otro tipo de carnes y así ampliar los resultados”.
Una problemática de escala global
La contaminación ambiental por plástico ya ha tomado relevancia mundial, y aunque todavía no están del todo claras las implicancias que tiene para la salud humana, de a poco comenzamos a dimensionar su gravedad.
En este contexto, la doctora en Ciencias Biológicas, asegura que “existen cada vez más investigaciones que están descubriendo la presencia de partículas de microplásticos en distintas matrices, por ejemplo, en el aire, donde llegan a tener dimensiones del tamaño de partículas respirables. También se encontraron en el agua y en el suelo”.
El equipo está buscando relevar, primero, la existencia o no de microplásticos, y luego detectar cuál sería su puerta de entrada en la cadena de la trazabilidad de la carne, dado que la vía de ingreso principal al cuerpo humano sería a través de los alimentos.
“Ya existen investigaciones hechas en especies de peces de agua dulce y marinos, y se sigue avanzando en otros. En la población humana, hay estudios que demuestran la presencia de estas partículas tanto en el tejido sanguíneo, placenta de gestantes sanas como también en cerebros de personas ya fallecidas y en otros órganos que se siguen estudiando”, explica Schaumburg, quien remarcó la importancia de indagar en las consecuencias a largo plazo, ya que es un mundo de información nueva.
Con rigurosidad metodológica
Como primera instancia de trabajo, el equipo de investigación de la UCSF, llevó adelante un proceso de puesta a punto de la técnica de recolección de datos, analizando los tipos materiales utilizados en la conservación y disposición, de manera tal de establecer la técnica más factible y apropiada de aplicación.
Respecto a las muestras, la directora del proyecto explicó que son cortes cárnicos comprados en diferentes bocas de expendio, como supermercados o carnicerías. “Lo que hacemos es analizar aquellas carnes que están envueltas en papel film, generalmente acompañado con una base de telgopor. Nuestra hipótesis es que en esa carne hay presencia de microplástico que derivan de la fragmentación y la liberación del propio material de packaging de plástico que envuelve y contiene al alimento”.
Para poner a prueba dicha hipótesis, las muestras de carnes con packaging serán comparadas con otras muestras sin packaging. “Para ello, al momento de comprar los cortes llevamos recipientes de vidrio con tapas de metal donde los colocamos para trasladarlos hasta el laboratorio, de manera tal de aislarla del entorno y de evitar una contaminación ambiental con microplásticos por algún material cercano o por el uso de una bolsa de plástico, como comúnmente ocurre cuando uno va a comprar a una carnicería”.
Otro punto fundamental es el cuidado de las muestras de cualquier posible contaminación extra que las pueda afectar. Ante esto, Schaumburg explica que en el laboratorio también de toman todos los recaudos necesarios para evitar la circulación de aire que permita el ingreso de microplásticos por este medio, así como la utilización de elementos y materiales de laboratorio de vidrio.

Los primeros resultados
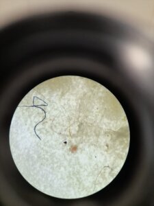
Sobre el momento clave del análisis, la docente e investigadora describe: “Una vez que la carne ingresa, se realiza una digestión química, luego un filtrado al vacío, y al final, se observan los filtros al microscopio y registramos, si hay o no presencia de microplásticos”.
Los resultados preliminares obtenidos hasta el momento son concretos: “La mayoría de los microplásticos que hemos encontrado son de tipo fibra, con una estructura alargada. Hay otros que en la bibliografía llaman ‘fragmentos’ sin formas definidas, y una tercera categoría que es la menos visualizada de tipo lámina, son más bien aplanados. En su mayoría, son todas fibras de diferentes colores”.
El siguiente paso para el equipo consiste en procesar las muestras que faltan y analizar estadísticamente los registros.
“A priori, los resultados sugieren que las muestras contienen una cantidad de microplásticos superior a la esperada inicialmente por el grupo de trabajo.”
Formación y aprendizaje integral
Formar parte de un equipo de investigación tiene diversas ventajas, tanto para quienes son profesionales, como para los estudiantes: “Más allá de los resultados que estamos obteniendo sobre una temática que nos atraviesa, desde el punto de vista académico, este tipo de actividades nos sirven mucho para aprender a trabajar en equipo. Es súper importante aprender a cumplir los roles y delegar cuando es necesario. Todos estamos aprendiendo a tomar decisiones, a organizarnos día a día con la toma de muestras, con los procedimientos y que los datos obtenidos sean altamente confiables. Es una tarea muy importante y un hermoso desafío”.
